きれいな歯並びで自然な笑顔に

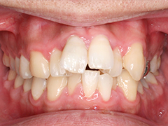
「出っ歯」「すきっ歯」「受け口」など、歯並びの乱れについてお悩みではありませんか? それにもかかわらず、「矯正治療は子どもが受けるもの」と思って、治療を諦めていないでしょうか?
矯正治療は、年齢に関係なく子どもも大人も受けられる治療です。近年ではその理解が広まり、大人になってから矯正治療を受けられる方も増えています。歯並びでお悩みなら、都営浅草線「本所吾妻橋駅」からすぐ、墨田区の歯医者「むとう歯科」の矯正歯科までご相談ください。きれいな歯並びを取り戻し、笑顔に自信を持ちましょう!
~矯正専門医にご相談ください~

歯並びの乱れ方には種類があり、また乱れている程度も患者さん一人ひとりによってまったく異なります。そのため、矯正治療の方法や装置の種類にもさまざまな選択肢があり、その診断には高い専門性が求められるのです。
当院では、矯正治療を矯正専門医が担当します。矯正治療についての高い知識・技術はもちろん、豊富な実績を持つ専門医による、一人ひとりのお口の状態に合ったご提案が可能です。
矯正治療のメリット
| Merit 1 | Merit 2 | Merit 3 | Merit 4 |
|---|---|---|---|
| 歯並びが整うことでブラッシングしやすくなり、虫歯・歯周病のリスクを低減できます。 | 空気のもれ方や舌の位置が正しくなり、正しく発音できるようになります。また滑舌もよくなります。 | 顎の動きのバランスがよくなり、顎の正しい成長につながります。 | 食べ物をしっかり咬みくだけるようになり、食事がしやすくなります。 |
| Merit 5 | Merit 6 | Merit 7 | Merit 8 |
| 出っ歯などによくある、口元に衝撃を受けた際にケガをするリスクを減らせます。 | 舌や唇がスムーズに動くようになり、会話を楽しめるようになります。 | 歯並び・咬み合わせの乱れによって顎関節にかかっていた負担が改善され、顎関節症のリスクを減らすことができます。 | 見た目のコンプレックスが解消されると積極的にコミュニケーションをとれるようになり、前向きな性格になる方もいます。 |
成人矯正について

歯並び・咬み合わせの乱れは見た目が気になるだけでなく、虫歯や歯周病のリスクを高め、お口の環境を悪化させる原因になります。自分の歯を少しでも長く残すためには、矯正治療で正しい歯並び・咬み合わせを手に入れることが大切です。
しかし矯正治療は装置が目立つことで、大人の方には敬遠されることも少なくありません。当院ではそういった方に、透明なマウスピースタイプの装置など、目立ちにくいものをご提案しています。楽器演奏やスポーツなどの趣味も、変わらず楽しみながら治療ができる装置ご提案も可能ですので、まずは一度ご相談ください。
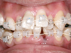
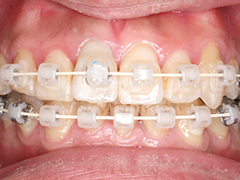
できるだけ目立たない装置を使用
むとう歯科では、全ての患者様に白い目立たない装置を使用しております。出来るだけ痛みの少ない方法で、お口のケアも医院内で連携しています。安心して受診して頂けるよう努めております。
小児矯正について

矯正治療は大人になってからでも受けることができますが、成長期にある子どものうちにはじめることで、より多くのメリットを得ることができます。
たとえば、子どもの成長しようとする自然な力を利用することで顎の成長自体を正しく導き、歯がきちんと並ぶスペースを確保することが可能です。その結果、後に本格的な矯正治療を行うことになった際にも、抜歯の可能性を減らすことができます。
このようなメリットを得るには、一人ひとりに合った治療開始のタイミングを逃さないことが大切です。タイミングを知るためにも、まずはお早めにご相談ください。

















